"A Great Smile Never Goes Out Of Style"
We invite you to come in for a free consultation.
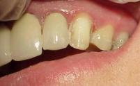
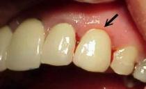
Porcelain laminate veneers, or simply "veneers", are custom-made porcelain wafers that the
dentist places over the fronts of the teeth to enhance their appearance and also to repair
damage. Veneers can dramatically change a person's smile and help improve their
self-confidence.
Veneers can be used to improve a wide variety of cosmetic dental problems. They can whiten
stained or discolored teeth, close gaps between teeth, "correct" a crooked smile without the
need for braces, repair chips and imperfections, and create a more attractive or youthful looking
smile. The procedure usually involves removing only a thin amount of the outermost layer of the
tooth, called the enamel. The dentist then takes molds (impressions) of the mouth. Temporary
veneers are then placed for the patient to wear while the permanent veneers are being made
Cosmetic Veneers